Η Μαρίνα Σάττι, η οποία είναι πολύ ενεργή στα social media της και καθημερινά δημοσιεύει βίντεο και φωτογραφίες από τη δουλειά και τη ζωή της γενικότερα, μοιράστηκε με τους ακόλουθούς της στον προσωπικό της λογαριασμό στο Instagram πως είχε ένα ατύχημα.
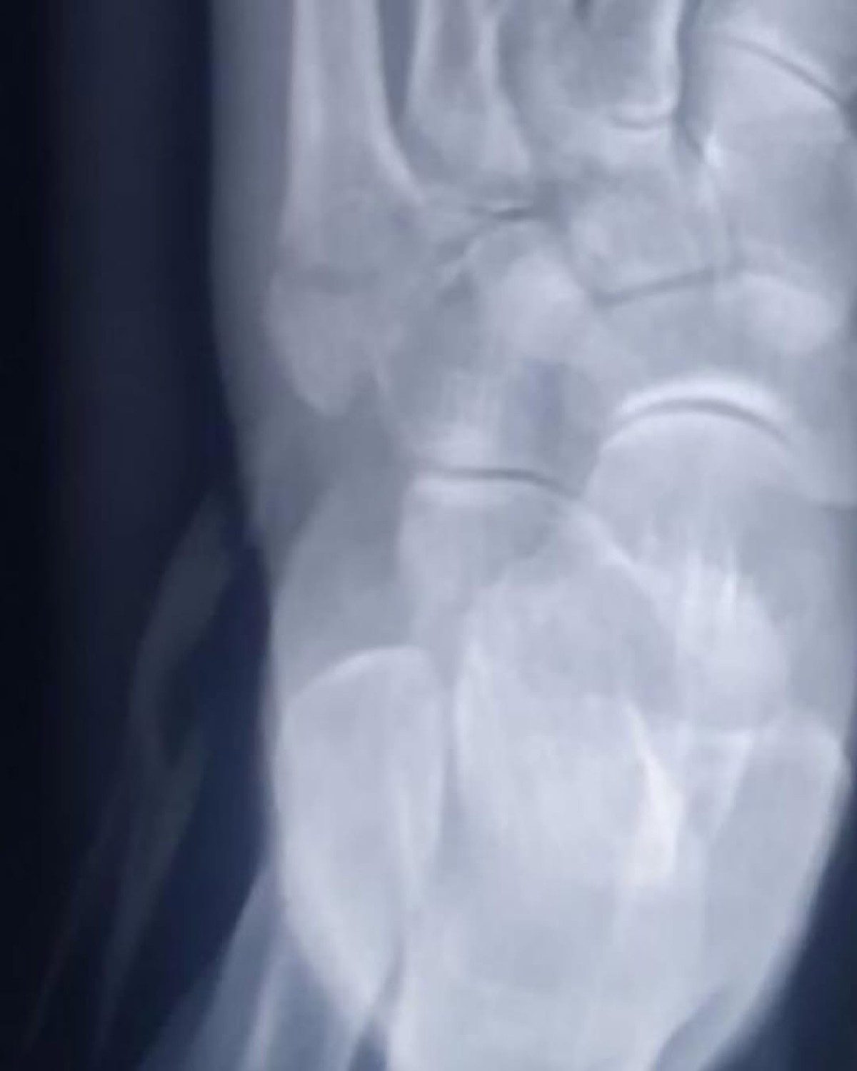
Το ατύχημα αυτό, μάλιστα, της στερεί τη δυνατότητα να πραγματοποιήσει την προγραμματισμένη της περιοδεία. Στην ανάρτησή της έδειξε και τις ακτινογραφίες από το πόδι της, το οποίο και χτύπησε στις πρόβες, δείχνοντας το πρόβλημα που δημιουργήθηκε και αποκάλυψε πότε θα πραγματοποιήσει τις εμφανίσεις της εφόσον όλα πάνε καλά με την υγεία της και αναρρώσει.
Η ανακοίνωση της Μαρίνας Σάττι για το ατύχημά της
«Παιδιά, είχα ατύχημα στις πρόβες χορού και έπαθα διάστρεμμα στον αστράγαλο 3ου βαθμού και ένα κάταγμα, οπότε πρέπει να μείνω εκτός για μερικές εβδομάδες για να συνέλθω πριν αρχίσω να κινούμαι ξανά. Λυπάμαι πολύ που πρέπει να αναβάλω την περιοδεία μου στο Ηνωμένο Βασίλειο και την Ευρώπη -δεν το έχω ξανακάνει αυτό- αλλά αυτή η περιοδεία ήταν πραγματικά απαιτητική γιατί έπρεπε να μετακινούμαστε αεροπορικώς και να εμφανιζόμαστε στη σκηνή σχεδόν καθημερινά.
Αισθάνομαι τόσο λυπημένη και λυπάμαι πολύ αν αυτό προκαλεί οποιαδήποτε ταλαιπωρία – ξέρω ότι κάποιοι από εσάς είχατε κάνει κράτηση αεροπορικών εισιτηρίων και ξενοδοχείων κ.λπ. Η ημερομηνία του Παρισιού έχει επαναπρογραμματιστεί για τις 16 Μαΐου (το νέο άλμπουμ θα έχει κυκλοφορήσει μέχρι τότε, οπότε θα παίξω και τα νέα τραγούδια αν αυτό μπορεί να κάνει τα πράγματα καλύτερα) και προσπαθούμε να επαναπρογραμματίσουμε τις υπόλοιπες ημερομηνίες πολύ σύντομα. Θα λάβετε επίσης email για επιστροφές χρημάτων όπου χρειάζεται. Σας αγαπώ, ελπίζω να απολαύσετε το τραγούδι που κυκλοφόρησα σήμερα. Να προσέχετε και λυπάμαι πολύ», έγραψε χαρακτηριστικά και γέμισε με μηνύματα συμπαράστασης.
Δείτε επίσης: Μαρίνα Σάττι – Το άγριο bullying για την καταγωγή της και η δύσκολη παιδική ηλικία




">
">
">
">
">
">
">